
South Florida living means year-round sunshine, beautiful beaches, and plenty of ocean-focused activities. But it also creates a perfect storm for a very common eye condition known as a pterygium—often referred to as a surfer's eye.
While many people suffer (it’s estimated that anything from 2.5 to 15 million people per year get it), it’s massively underdiagnosed. Only around 1 in 6 people seek help, only seeing their eye doctor if and when it becomes a problem or if it’s picked up during a regular eye exam. However, if left untreated and allowed to grow, pterygium surgery may be needed.
What It Is and Pterygium Causes
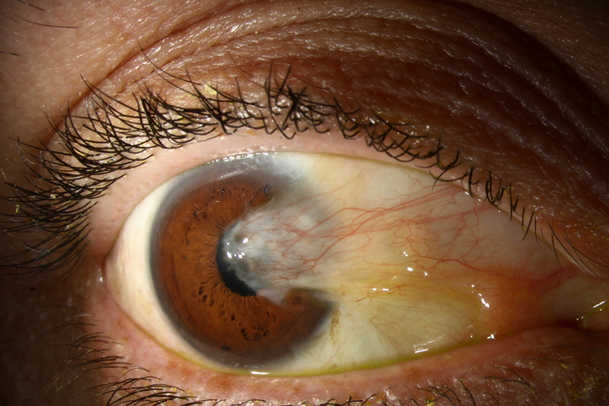
A pterygium isn't a tumor and it’s not cancer—it’s a benign growth that’s triggered by chronic environmental irritation. It’s characterized by a fleshy, triangular growth of pink tissue on the white part of the eye (the sclera) that can eventually extend over the clear front window of the eye (the cornea).
In regions like South Florida, intense, year-round ultraviolet (UV) radiation is the leading culprit—in other words, that wonderful sunlight we all enjoy...
When UV light constantly hits the unprotected surface of the eye, it damages the clear membrane covering the white of the eye—the conjunctiva. This causes it to thicken and grow abnormally.
Add in the salty ocean wind, blowing sand, and dry conditions, the eye's surface can become chronically inflamed. This ongoing irritation signals the body to grow extra blood vessels and tissue to act as a protective shield, which manifests as an unsightly and sometimes painful pterygium.
The condition is often mixed up with another common UV-related eye bump, called a pinguecula. While they share the exact same environmental causes, they are two distinct conditions.
Pterygium vs. Pinguecula
It’s not a surprise that the two conditions get confused. Indeed, a pterygium can often start out as a pinguecula that becomes more aggressive.
- Pinguecula: A yellowish, raised patch or bump located on the white of the eye, usually closest to the nose. A pinguecula doesn’t grow across the clear cornea. It can cause dry eye and mild irritation, but it doesn't directly threaten your vision. Think of it as a small, sun-induced callus on the eye.
- Pterygium: This is a pink growth that develops its own network of blood vessels and physically invades and grows over the clear cornea. Because it crosses into your line of sight, it can potentially distort your vision.
Surfer’s Eye Treatment: When to Watch vs. When to Operate
While being told you’ve got a growth on your eye is naturally something that might concern you, not every pterygium requires surgery. In fact, many people live with the condition for decades and effectively manage any mild symptoms it might cause. The best course of action will be determined by your eye doctor and follows a clinical stepwise process.
Conservative Management (AKA, Watch and Wait)
Your ophthalmologist will usually recommend this approach if the pterygium is small, not actively fast-growing, and not affecting your vision. During this phase, the goal is symptom management and preventing further growth.
Treatment includes:
- Over-the-counter (OTC) lubricating artificial tears to soothe dryness
- Mild steroid eye drops for temporary flare-ups of redness
- Using wrap-around, 100% UV-blocking sunglasses and wide-brimmed hats outdoors (That cool, laid-back surfer vibe is rooted in sound clinical judgement, not just aesthetics…)
When to Remove Pterygium
If conservative management fails or the growth becomes aggressive, then surgical removal becomes necessary. This will be recommended if:
- It begins to encroach on the cornea: The growth enlarges towards the center of your pupil, threatening to physically block your line of sight
- You develop astigmatism: As the thick tissue grows it can pull on the delicate cornea, warping its round shape. This causes an irregularly shaped eye—known as astigmatism—leading to blurry and distorted vision
- Chronic irritation: The eye becomes persistently red, inflamed, tearing, or it feels like you’ve permanently got sand in your eye, and the symptoms aren’t relieved by lubricating eye drops
- It stops you wearing your contact lenses: The raised bump makes fitting and wearing contact lenses painful or impossible
- Cosmetic impairment: A highly visible growth that impacts your self-confidence and daily life
How to Prevent a Pterygium from Returning
In the past (and we’re talking decades ago) doctors simply scraped the growth off the eye, leaving the sclera bare to the elements. However, this technique resulted in a massive recurrence rate, where the pterygium would often grow back larger and more aggressive than before.
Thankfully, today’s surgical techniques have revolutionized the treatment. The current gold standard for a surgical removal is a Pterygium Excision with a Conjunctival Autograft.
It’s performed on an outpatient basis. Your ophthalmologist will remove the abnormal tissue and then harvest a tiny, healthy piece of conjunctival tissue from underneath your upper eyelid. This is grafted onto the bare area where the pterygium used to be using a special fibrin glue to hold it in place. This acts as a healthy barrier and stops any abnormal tissue from growing back. This technique is incredibly effective, dropping the recurrence rate to less than 5% and offering beautiful, natural-looking cosmetic results.
FAQs
Q: Can a pterygium come back?
A: Yes, it can. But with modern surgical techniques like the conjunctival autograft, the recurrence rate is exceptionally low (typically under 5%). Help prevent regrowth by wearing 100% UV-blocking sunglasses whenever you’re outdoors, especially in sunny, highly reflective environments like South Florida.
Q: Does pterygium surgery hurt?
A: In a word, no… Your eye will be completely numbed using a combination of local anesthetic drops and a micro-injection. You’ll also be lightly sedated, so you remain relaxed. You may feel mild pressure or movement during the procedure, but there won’t be any pain.
Q: What is the recovery period for pterygium surgery?
A: Most people return to normal, non-strenuous activities (like computer work) within 3-5 days. However, your eye will feel scratchy, watery, and appear red and slightly swollen for the first week or so as the graft heals. Complete healing of the eye's surface and loss of redness typically takes about 3-4 weeks.
Pterygium removal in Boca Raton is a commonly carried out procedure. The key to the least hassle and the fastest recovery is to visit an eye doctor sooner rather than later. As with any health condition, the quicker it’s diagnosed, the faster it can be sorted.
Living in South Florida with a growing pterygium? Schedule an evaluation with Dr. Bellotte at WBEC.
South Florida living means year-round sunshine, beautiful beaches, and plenty of ocean-focused activities. But it also creates a perfect storm for a very common eye condition known as a pterygium—often referred to as a surfer's eye.
Book an appointment
Fill out the form below and our staff will reach out to you quickly to fully book your appointment and receive all of your necessary information.
Specializing in modern cataract surgery.
Located 1/2 miles North of West Boca Medical Center on Glades Road, directly behind Macy's Furniture Gallery.
West Boca Eye Center
9325 Glades Road, Suite 201.
Boca Raton, FL 33434